沼澤デンタルクリニック武蔵小金井院では
目立たない透明なマウスピース矯正
歯の裏側で見えない舌側リンガル矯正など
幅広い治療オプションをご用意し
お一人おひとりに
最適な
矯正歯科治療をご提供しています。
予防と矯正の融合

当院は、一般歯科から矯正歯科まで幅広く対応し、皆様のお口の健康を総合的に守る歯科医院を医院理念としています。
「治す」から「矯正治療」と「メンテナンス」に至るまでの総合的視点で、皆様のお口の健康とバランスを整える矯正歯科治療をご提供しています。
Do you have any of these problems?
※このようなお悩みがあればご相談ください。

実はそのお悩みは
解決できます
| ケース数 | 538 ケース | 
|---|
| 〔2024年〕  65ケース  | 
                        〔2023年〕  57ケース  | 
                        〔2022年〕  76ケース  | 
                        〔2021年〕  78ケース  | 
                    
| 〔2020年〕  28ケース  | 
                        〔2019年〕  42ケース  | 
                        〔2018年〕  34ケース  | 
                        〔2017年〕  31ケース  | 
                    
| 〔2016年〕  42ケース  | 
                        〔2015年〕  49ケース  | 
                        〔2014年〕  36ケース  | 
                    



当院の矯正歯科は毎週月曜におこいます
矯正歯科治療は、八重歯、乱杭歯、受け口、出っ歯、すきっ歯といった不正咬合や歯列不正を整え、上下の歯の噛み合わせを改善することを目的とした治療です。
歯並びを美しく整えることで、噛み合わせの改善はもちろん、発音の明瞭さや食事のしやすさといった機能的なメリットも得られます。また、見た目の問題が解消されることにより、笑顔に自信を持つことができるようになります。
矯正歯科では、患者様一人ひとりに最適な治療計画をご提案し、矯正治療をおこないます。当院であなたの理想の歯並びを実現し、自信あふれる新しい毎日を手に入れてください。お気軽にご相談ください。
                歯科衛生士の経験談
矯正治療は歯に器具を付けることにより、セルフケアで口腔内を清潔に保つことがとても難しくなります。私自身、矯正専門の歯科医院で矯正治療を受けた経験がありますが、矯正治療中のクリーニングやブラッシング指導はありませんでした。そのため、セルフケアの重要性を知ることもなく治療が終了しました。今思うと、器具が付いているときに予防歯科で行うようなしっかりとしたセルフケアの指導や的確なメインテナンスをしてもらう方が良かったと思っています。予防歯科と矯正歯科と2つの医院で予防と矯正を行うなんて考えもつかなかったし思いついていても通うのは大変だったと思います。
当院のような予防歯科で矯正治療を行う場合は、患者様自身では行き届かないところをクリーニングしてもらえて、歯周病やむし歯の進行を予防することが出来ます。それに加え、患者様には慣れない器具が付いた状態での口腔清掃指導も矯正治療と並行して行うことが出来ます。
以前、矯正治療中の患者様で、歯が動いた後の隙間にむし歯が見つかったことがありました。
レントゲンでも、直接目で見ても、確認できる部位ではなかったので、矯正で歯が動くことによって気づけなかったむし歯が見つかるというのはむし歯の早期発見にも繋がるのだと感じました。
また小さいころからむし歯予防に通ってきているお子様の生え代わりを見守り、歯列矯正の必要性を早くに指摘することで簡単な装置で未然に不正咬合を回避できることもできます。
予防歯科の取り組みは不正咬合の重症化の予防にもつながるのです。
むし歯が見つかった後は速やかにむし歯治療を行うことができるのも当院のメリットだと思います。
矯正治療の中には近年インプラントアンカーという小さなネジなどを外科処置によって埋入しそれを固定源にして歯を動かす方法や親知らずの抜歯など少なからず外科処置を必要とする場合がありますが、当院では歯科医と矯正医の連携によりアンカーの位置や角度をその場で打ち合わせしたり、抜歯の順番の相談など密な連携によってのみ可能な質の高い矯正治療を提供することができるのです。
Writing by 沼澤秀之 佐々木菜波

歯並びが悪ければ、噛み合せも悪いので、むし歯や歯周病にもなりやすく健康にも影響を与えます。それは肉体的なものばかりでなく、精神的にも大きな負担となります。
欧米では、健康的で整った美しい歯並びが常識になっています。日本でも八重歯をチャームポイントとする人を多く見かけましたが、最近では、歯並びに対する 日本人の考え方も、徐々に変化してきて綺麗で健康的 な歯並びを求める人たちが増えてきました。
歯並びを治す矯正歯科は、病気を治すのと同じように歯の正常な咀嚼(そしゃく)機能を取り戻し、健康な身体と心を作るための歯科治療なのです。そして治療がすめば、健全な咀嚼器官とともに健康美あふれる笑顔も手に入れることができます。

歯並び咬み合わせを治して、
美しい笑顔になりましょう
矯正治療は、お子様だけと思いがちですが、決してそうではありません。当院では20代~70代の方と幅広く矯正治療を行っていただいております。
子供の頃から歯並びが悪くコンプレックスを感じている方。タイミングがなく治療を受けられなかった方。時間的・経済的に余裕ができて矯正治療をはじめる方など、様々な患者様がいらっしゃいます。
歯並び咬み合わせやキレイな口元を目標として、個人個人にあった方法で治療を行っていきます。
                沼澤デンタルクリニック武蔵小金井院の矯正治療は、一般的なブラケットによる歯列矯正、裏側からの舌側矯正、マウスピースを使用した取り外し可能な目立たない部分矯正治療があります。

透明な素材で作られたマウスピース型の矯正装置で、矯正治療中も全く目立たず、また取り外しも可能であるため、家にいるときだけ使用することもできます。
このマウスピース矯正は、部分矯正に適しており、人前に立つ仕事をしている方でも安心して治療を受けることができます。
また、食事の際には取り外すことで、食事を楽しむことができます。

裏側矯正は「リンガル矯正や舌側矯正」などとも呼ばれ、歯の裏側につけるので、矯正しているのがわかりにくい見えない矯正装置になります。
最近は裏側矯正の装置も小型化が進み、歯列矯正治療期間中も快適に過ごすことができるようになってきています。当院では表側の矯正とほぼ同じ期間で裏側矯正を行う技術を提供しています。

ワイヤーによる表側矯正は、歯に「ブラケット」という装置を取り付け、そこにワイヤーを通して少しずつ歯を動かしていく最もスタンダードな矯正治療法です。
最近では、樹脂製やセラミック製などの白色や透明色の目立ちにくいブラケットを使用することも増えております。こういった目立たない審美ブラケットにも対応しております。
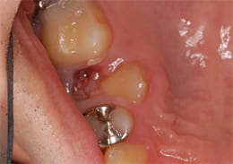
Orthodontics Case Studies




下顎の1本の歯を部分矯正治療(MTM)をしました。
<リスク・副作用>
治療中に軽い痛みや不快感を感じることがあります。また、矯正器具が歯に食べ物が詰まりやすくなるため、虫歯や歯周病のリスクが高まります。さらに、歯の移動に伴い、歯根吸収や歯肉退縮が起こる可能性があります。 
保険診療もクレジットカード、
PayPay、現金払いが可能です!



パーテーション区切りの診療室だけでなく、
完全個室もご用意!
プライバシーが守られ、人目を気にせず
自分だけの空間で安心して治療を受けられ、
相談ができるのもポイントです。
また、バリアフリー設計で
チャイルドルーム付きの個室もありますので、
バギーのまま診療室まで入れ、お子様と同じ空間で一緒に治療も受けられます。
なお、子供たちのためのキッズハウスもあり、
小さなお子様も楽しく通える歯医者です。



                沼澤デンタルクリニック武蔵小金井院では、
患者様に納得していただいた状態で治療を提供。
歯や口腔内の状態を確認させていただいた上で、
患者様に最適な治療を提案いたします。
担当するのは、特別な訓練を受けた
トリートメントコーディネーター、歯科医師、歯科衛生士なので、
安心してご相談をいただけます。
院長の沼澤秀之は「ストローマンガイド プランニングアカデミー 講師」「西東京インプラントアライアンス 主宰」を務めております。
理事長の沼澤成文は「ITI SC西東京 Director」「Straumann Guide Plannning Academy 講師」「歯科医師臨床研修 指導医」を拝命し努めております。
そして、当医療法人のドクター勉強会を定期的に開催し、グループ全体の治療技術・臨床知識の向上を常に行っております。
このことから患者様には、先進の歯科医療とクオリティの高い歯科治療のご提供ができる環境を整えております。



                沼澤デンタルクリニック武蔵小金井院では、
医療人として医学的知識を追求し続けます。
各学会の認定医や専門医の取得から、国内外の勉強会グループでの症例発表など、患者様に先進で最良な治療を提案するための努力は惜しみません。