沼澤デンタルクリニック武蔵小金井院では
美しさと機能性を追求した
審美セラミック治療を提供しております。
新たな自信と輝く笑顔を
サポートする私たちの技術を
きっとご満足いただけることと思います。
自然な歯の美しさをセラミック治療で

当院では、お一人おひとりの患者様のニーズを的確に捉え、丁寧なカウンセリングを通じて最適な治療プランをご提案いたします。
全ての工程で細心の注意を払い、セラミックの仕上がりを追求するから、多くの支持を得て圧倒的な実績に結び付いています。
Do you have any of these problems?
※このような症状があればご相談ください。

実はそのお困り事は
改善できます
| ケース数 | 18,850 本 |
|---|
| 〔2024年〕 2,097本 |
〔2023年〕 2,248本 |
〔2022年〕 2,527本 |
〔2021年〕 2,132本 |
| 〔2020年〕 2,006本 |
〔2019年〕 1,928本 |
〔2018年〕 1,556本 |
〔2017年〕 1,247本 |
| 〔2016年〕 1,213本 |
〔2015年〕 1,103本 |
〔2014年〕 793本 |
セラミックによるメタルフリー治療
金属を使わないで、身体にやさしいメタルフリー治療とは、銀歯などの金属を使わないで、オールセラミックやジルコニアなどのノンメタルの素材を使って治療をすることです。
これにより金属アレルギーや金属イオンによる歯ぐきの黒ずみが解消されます。また、見た目も金属を使用しないので、白く天然歯に近い自然な仕上がりを得ることができます。
私ども沼澤デンタルクリニックでも金属を使用しない“メタルフリー”治療を積極的に行っておりますので、ご興味がある方はお気軽にご相談ください。
ファイバーコアの利点
虫歯などで神経を取ってしまった歯は、歯を支えるために土台を作ります。
従来では金属の土台(メタルコア)が用いられてきましたが、生体親和性の高いファイバーコアを用いることによって、金属アレルギーや電気の発生を防ぐことができます。また、金属の色が透けては困る前歯の修復にも適しており、歯根が割れてしまうのを防ぐのにも有効です。
テクノロジーと素材の融合
当院はCAD/CAMによる審美セラミック補綴システムを導入しています。
オールセラミックス(ジルコニア)の素材をコンピューターを用い設計から加工まで行うITシステムです。
CAD/CAMのテクノロジーと、セラミック素材のもつすべての可能性を利用することにより、従来の手で削るより仕上がりが極めて自然なものとなります。
修復歯およびインプラントの究極の審美性と自然な仕上がりに極めて重要な蛍光性、乳光性および光の自然な透過性が実現したのがCAD/CAMによる審美セラミック補綴システムです。

口腔内のすべての歯に適用できる方法で、土台となる歯の外側に人工歯としてすっぽりかぶせるタイプです。
セラミックのみで作られているので金属アレルギーの方に有効ではないでしょうか。
インプラントとの併用で天然歯とほとんど見分けがつかない仕上がりが期待できます。

e.max(イーマックス)は、二ケイ酸リチウムガラスセラミックという従来のセラミック系の詰め物よりも2~3倍の強度を持っている素材になります。
ですから、割れたり欠けたりするトラブルを非常に少なくすることができます。見た目も非常にきれいです。

オールセラミックによるブリッジは強度の高いジルコニアを使用し、透過性に優れた素材のため審美性に優れ、見た目が重要になる前歯部の症例に適応しています。

前歯のエナメル層を薄く削り、その上にセラミックを貼り付けるものです。こちらもセラミックのみで作られているので金属アレルギーの方に有効だと思われます。
よく目立つ前歯でもプロセラ・オールセラムのもつ理想的な光の透過性が高い審美性を発揮します。


オールセラミックとハイブリッドセラミックによるメタルフリー審美治療。
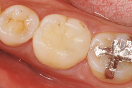
保険の金属修復物を除去しセラミック修復に適切な支台歯形成をおこない、厚みを確保した形態に修正後型どりし、完成品を接着性セメントにて装着した。
<リスク・副作用>
咬合の違和感があることがある。
過度の衝撃による脱落・破折することがある。
知覚過敏になることがある。


e.max(二ケイ酸リチウムガラスセラミック)は、従来のセラミック系の詰め物よりも2~3倍の強度を持っていますので、割れたり欠けたりするトラブルを非常に少なくすることができ、見た目もこのとおり非常にきれいです。
金属修復物が脱離した状態からセラミックス修復に必要な厚みを確保するため追加形成をし、印象採得した模型上で作製されたe-maxセラミック修復物を接着性セメントで接着した。
<リスク・副作用>
咬合の違和感があることがある。
過度の衝撃による脱落・破折することがある。
知覚過敏になることがある。


結合組織による根面被覆症例です。
歯が長く見えてしまう歯ぐきの部分を改善します。
対象となる歯の歯根面を科学的に処理した上で口蓋から採取した結合組織で覆い安定を待った。厚みのある歯肉を獲得でき歯の清掃性や審美性が向上した。
<リスク・副作用>
手術後に腫れや痛みが生じることがあります。これらは通常一時的なもので、2〜3日程度で治まりますが、個人差があります。また、感染症のリスクもありますが、抗生物質の服用で予防することができます。
さらに、移植した組織がうまく定着しない場合もあります。この場合、再手術が必要になることがあります。また、喫煙者や糖尿病患者など、免疫力が低下している方は、治癒が遅れる可能性があります。


対象となる歯の歯根面を科学的に処理した上で口蓋から採取した結合組織で覆い安定を待った。厚みのある歯肉を獲得でき歯の清掃性や審美性が向上した。
<リスク・副作用>
咬合の違和感があることがある。
過度の衝撃による脱落・破折することがある。
知覚過敏になることがある。


ガムブリーチングの症例です。
歯ぐきの黒ずみを改善します。
<リスク・副作用>
手術後に腫れや痛みが生じることがあります。これらは通常一時的なもので、2〜3日程度で治まりますが、個人差があります。また、感染症のリスクもありますが、抗生物質の服用で予防することができます。
また、喫煙者や糖尿病患者など、免疫力が低下している方は、治癒が遅れる可能性があります。


上顎3番~3番の6本と下顎3番~3番の5本によるオールセラミック治療(治療費143万 税別)
<リスク・副作用>
咬合の違和感があることがある。
過度の衝撃による脱落・破折することがある。
知覚過敏になることがある。
保険診療もクレジットカード、
PayPay、現金払いが可能です!



パーテーション区切りの診療室だけでなく、
完全個室もご用意!
プライバシーが守られ、人目を気にせず
自分だけの空間で安心して治療を受けられ、
相談ができるのもポイントです。
また、バリアフリー設計で
チャイルドルーム付きの個室もありますので、
バギーのまま診療室まで入れ、お子様と同じ空間で一緒に治療も受けられます。
なお、子供たちのためのキッズハウスもあり、
小さなお子様も楽しく通える歯医者です。



沼澤デンタルクリニック武蔵小金井院では、
患者様に納得していただいた状態で治療を提供。
歯や口腔内の状態を確認させていただいた上で、
患者様に最適な治療を提案いたします。
担当するのは、特別な訓練を受けた
トリートメントコーディネーター、歯科医師、歯科衛生士なので、
安心してご相談をいただけます。
院長の沼澤秀之は「ストローマンガイド プランニングアカデミー 講師」「西東京インプラントアライアンス 主宰」を務めております。
理事長の沼澤成文は「ITI SC西東京 Director」「Straumann Guide Plannning Academy 講師」「歯科医師臨床研修 指導医」を拝命し努めております。
そして、当医療法人のドクター勉強会を定期的に開催し、グループ全体の治療技術・臨床知識の向上を常に行っております。
このことから患者様には、先進の歯科医療とクオリティの高い歯科治療のご提供ができる環境を整えております。



沼澤デンタルクリニック武蔵小金井院では、
医療人として医学的知識を追求し続けます。
各学会の認定医や専門医の取得から、国内外の勉強会グループでの症例発表など、患者様に先進で最良な治療を提案するための努力は惜しみません。